Strohman Family Dental | Periodontal Treatment, Laser Dentistry and Sports Mouthguards

Smile Gallery

Strohman Family Dental | Oral Cancer Screening, Digital Radiography and Night Guards

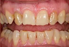
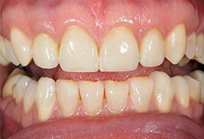
Before

Strohman Family Dental | Intraoral Camera, Dental Cleanings and Laser Dentistry

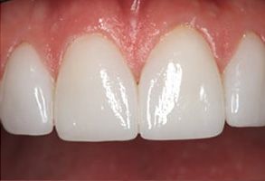
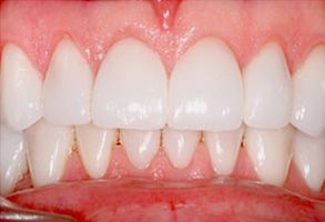
After

Strohman Family Dental | Oral Exams, Oral Cancer Screening and Digital Radiography

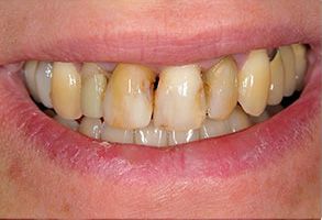
Before

Strohman Family Dental | Night Guards, Digital Impressions and Digital Radiography

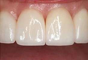
After

Strohman Family Dental | Night Guards, Teeth Whitening and Dentures

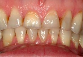
Before

Strohman Family Dental | Oral Cancer Screening, Fluoride Treatment and Night Guards

After

Strohman Family Dental | Preventative Program, Teeth Whitening and Implant Restorations

Before

Strohman Family Dental | Laser Dentistry, Fluoride Treatment and Periodontal Treatment

After

Strohman Family Dental | Digital Impressions, Oral Exams and Dentures

Before

Strohman Family Dental | Extractions, Dental Cleanings and Fluoride Treatment

After

Strohman Family Dental | Oral Exams, Laser Dentistry and Pediatric Dentistry

Before

Strohman Family Dental | Extractions, Cosmetic Dentistry and Oral Exams

After

Strohman Family Dental | Sports Mouthguards, Dental Bridges and Laser Dentistry

Before

Strohman Family Dental | Ceramic Crowns, Oral Exams and Fluoride Treatment

After

Strohman Family Dental | Laser Dentistry, Implant Restorations and Dental Cleanings

Our Services

Learn More

New Patients

Learn More

Request an Appointment

Start Today

Contact Info

301 E Call Street
Algona, Iowa 50511

Associations

Strohman Family Dental | Emergency Treatment, Pediatric Dentistry and Implant RestorationsStrohman Family Dental | Laser Dentistry, Fluoride Treatment and Oral Exams